Estètica dental i carillas

Quan convé consultar
- Dents tacades o groguenques que no milloren amb higiene diària.
- Fractures, desgast o petites irregularitats en la superfície dental.
- Separacions visibles entre dents.
- Dents desalineades o desiguals.
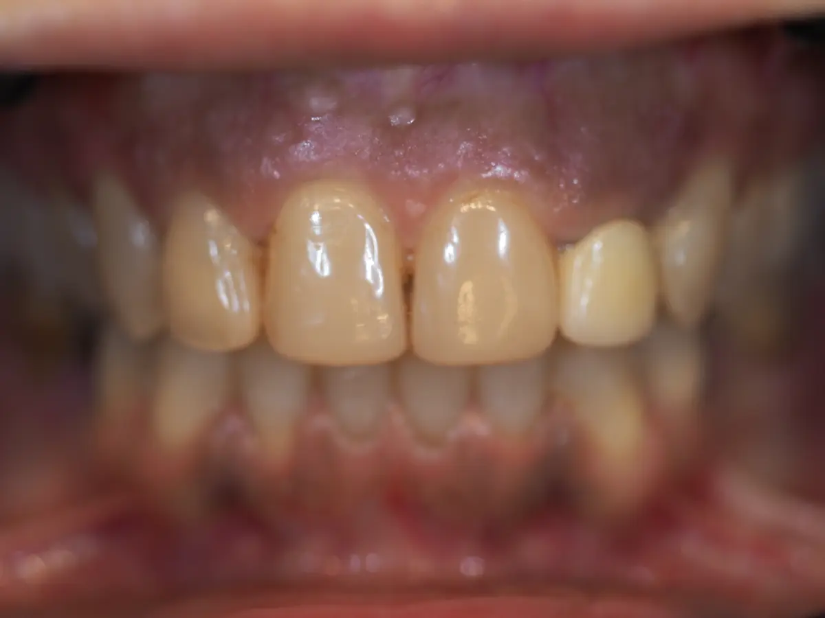
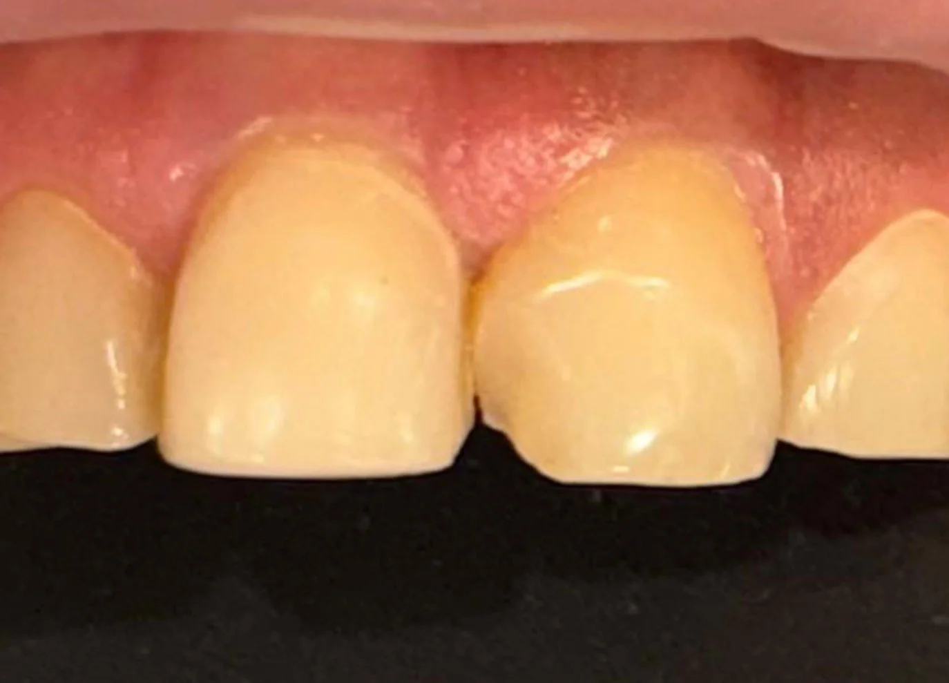
Facetes dentals i accions d’estètica
L‘estètica dental reuneix diferents tècniques que tenen com a objectiu millorar l’aparença del somriure. A través de tractaments mínimament invasius, és possible corregir imperfeccions en la forma, la grandària o el color de les dents, aconseguint un resultat harmònic que millora l’expressió i augmenta la confiança personal.
Dins d’aquestes tècniques destaquen les facetes dentals, unes fines làmines de porcellana o compòsit que s’adhereixen a la superfície de la dent per a modificar el seu aspecte de manera immediata. S’utilitzen per a cobrir fractures, tancar petits espais, igualar proporcions o blanquejar dents que no responen a altres tractaments.
La col·locació de facetes és un procediment senzill, segur i indolor, que no requereix hospitalització i que s’adapta a les necessitats de cada pacient. Les facetes estètiques són ultrafines, fabricades amb Cerinate, una porcellana patentada que manté la seva lluentor i integritat per més de 20 anys.
Els beneficis de l’estètica dental i de les facetes van més enllà del visual: un somriure cuidat genera seguretat en un mateix, millora l’expressió facial i facilita les relacions socials i professionals. En definitiva, és una inversió tant en salut com en benestar emocional.























